El hemangioma capilar, también llamado hemangioma capilar de la infancia, o marca de fresa, es una tumoración benigna epitelial en forma de nódulo o placa vascular de color rojo formada por vasos sanguíneos (de ahí su color) que aparece durante los primeros meses de vida y se resuelve espontáneamente en la mayor parte de los casos entre el quinto y el décimo año de vida.
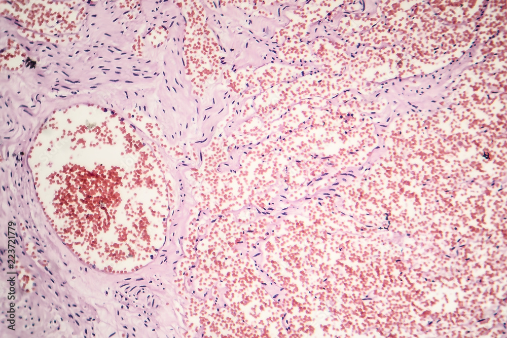
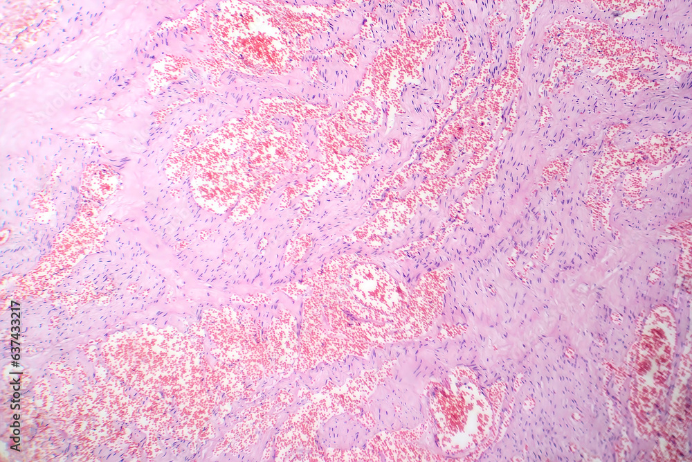
Histología
Consiste en acúmulos de células endoteliales en dermis o en tejido subcutáneo (a veces en ambos). Se diferencia del hemangioma cavernoso por una disposición más superficial y una mayor proliferación endotelial.
Clínica
Aparece como una mancha roja durante los primeros meses de vida del lactante. Puede ir creciendo durante el primer año de vida. A partir de entonces, su tendencia es hacia la desaparición espontánea, habiendo involucionado por completo el 90% antes del final de la primera década de la vida. Normalmente no deja marcas ni cicatrices, aunque a veces puede apreciarse una zona de atrofia residual con tendencia a la despigmentación.
Tratamiento
No suele precisar, aunque debe evaluarse caso por caso, en función de la zona comprometida y la evolución. Puede realizarse cirugía, criocirugía, tratamiento con corticoides o haces de láser de anilinas.
Véase también
- Hemangioma
Bibliografía
- Fitzpatrick TB, Johnson RA. (1994, 2ª ed.). Atlas de Dermatología Clínica. Mc. Graw-Hill. Interamericana, Madrid. ISBN 968-25-2046-0.




